|
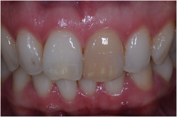
1. Old
stained front
fillings?
If whiter teeth is your end goal then you would
possibly want
to replace old stained front fillings or yellow crowns anyway to
match your new whiter smile. Whiten your teeth first then replace these unsightly
restorations.
2. Tray Whitening Whitening Direct supports tray whitening
that gradually whitens your teeth 1 day at a time. This is great as
it puts you in control of how white you want to
go.
3. Your
Diet If you are a heavy smoker or drinking and eating lots of
foods that cause staining (red wine, tea, coffee etc.) it makes sense that you would need
teeth whitening on a more continual basis. Your teeth will be under constant attack from
these stain-causing foods and drinks.(Unlimited Whitening option)
Many people use teeth whitening as a way of motivation
to
stop smoking or drinking coffee
etc.
4. See your Oral
Hygienist
For best whitening results all the
surfaces of your teeth must be clean from plaque or tartar. If you haven't seen your
hygienist for a while, get your teeth cleaned first for optimum results.
5. People with white
spots on their teeth Initually these white spots will whiten more and give an
uneven level of whitening. With continual whitening the remainder of the tooth will
'catch-up' creating a more 'even' level of whiteness.
6. Old
restorations
If you have defective or loose teeth, crowns, veneers, gum disease or tooth
decay it is best to consult your dentist about
these before considering tray whitening. The 'suction' created by taking impressions is minimal,
but might loosen these
restorations.
7. A Discoloured front
tooth A discoloured front tooth often is the
result of trauma to the nerve or previous root treatment. A special whitening treatment
(walking bleach) is recommended from
the dentist that whitens the tooth from the inside
out.
8. People
who should not whiten their teeth unless indicated by their dentist
|
|
Stained front fillings

Smoking causes severe staining

Cleaned teeth after Oral
Hygiene
|
|

White spots on teeth

Dark front tooth indicating
the tooth is 'dead'
|
|

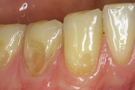
Old stained fillings & Open
tooth necks

Erosion lesions on necks of
teeth, causing sensitivity
|
|